Anna J. Huh, DMD | CEREC, Digital Radiography and Implant Dentistry

Dentistry Before and After Photos in North Haledon

before

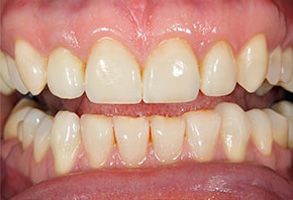
Before

Anna J. Huh, DMD | Laser Dentistry, Dental Bridges and Digital Radiography

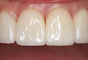
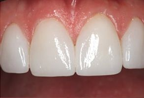
After

Anna J. Huh, DMD | Preventative Program, Dentures and Crowns  amp  Caps

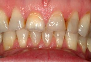
Before

Anna J. Huh, DMD | Dental Fillings, Dental Bridges and Laser Dentistry

After

Anna J. Huh, DMD | Invisalign reg , Dentures and Dental Fillings

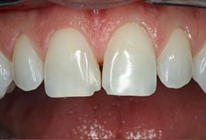
Before

Anna J. Huh, DMD | Invisalign reg , Teeth Whitening and Implant Dentistry

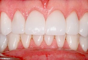
After

Anna J. Huh, DMD | Pediatric Dentistry, Crowns  amp  Caps and Digital Radiography

Before

Anna J. Huh, DMD | Crowns  amp  Caps, Preventative Program and Laser Dentistry

After

Anna J. Huh, DMD | Laser Dentistry, Teeth Whitening and Digital Radiography

Before

Anna J. Huh, DMD | Dental Bridges, Pediatric Dentistry and CEREC

After

Anna J. Huh, DMD | Crowns  amp  Caps, Dentures and Pediatric Dentistry

Before

Anna J. Huh, DMD | CEREC, Pediatric Dentistry and Dentures

After

Anna J. Huh, DMD | Oral Exams, Implant Dentistry and Crowns  amp  Caps

Before

Anna J. Huh, DMD | Dental Fillings, Oral Exams and CEREC

After

Contact Us

Schedule your appointment online or give us a call to get started today.

Anna J. Huh, DMD 475 High Mountain Rd, North Haledon, NJ 07508
(973) 607-2270